
你有莫得思过,牙龈出血不仅仅“上火”?口腔是全身健康的镜子,却常被当成“小极端”草草搪塞。估量早已阐发,牙周炎与心脑血管疾病、糖尿病以致某些癌症密切有关。那么接下来应该若何办呐?要是连最基础的口腔信号都蔽聪塞明,比及器官功能受损才觉悟,还来得及吗?

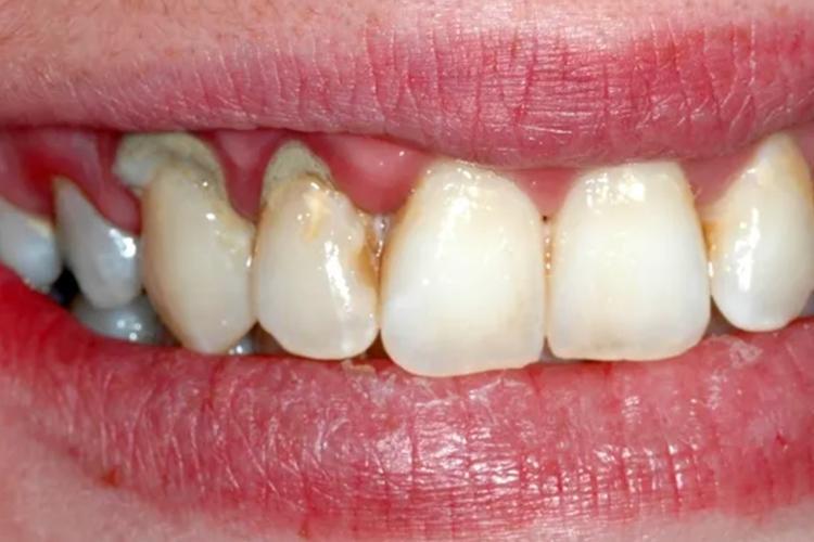
牙齿不会语言,但会“报警”。当它出现异常,每每是体魄在拉响警报。好多东谈主刷牙时看到血丝一笑置之,殊不知,这可能是慢性炎症推广全身的第一步。炎症因子一朝干涉血液轮回,就像野火燎原,悄无声气地侵蚀血管内皮。
这种挫伤是隐退性的——莫得剧痛,莫得高烧,只好年复一年的微小出血和口臭。你民风了,体魄却在崩溃边际。然而接下来的一幕让世东谈主都缄口无言:一位自认健康的中年东谈主,体检竟查出早期动脉粥样硬化,而他的牙周袋深度已超5毫米。
牙龈萎缩不是年龄大了的势必收尾。它是历久菌斑堆积、免疫系统握续应战的后果。牙床暴露、牙齿松动,名义看是“老掉牙”,实则是全身隆重体系失衡的缩影。你认为仅仅掉了颗牙?不,你可能正在失去对慢性病的范围力。

还有东谈主信托“牙疼不是病”,忍一忍就以前。可当代医学早已推翻这一谬论。握续性牙痛若无蛀牙或外伤原因,极可能是三叉神汲取累,以致与颅内病变存在联系。疾苦是体魄临了的呼救,别把它当成杂音屏蔽掉。
第四个危急信号是口腔异味历久不散。不是吃了大蒜那种俄顷气息,而是不管刷几许次牙、用几许漱涎水,那股腐味历久盘踞。这每每意味着厌氧菌大批繁衍,它们不仅碎裂牙周组织,还会开释硫化物,干扰代谢均衡。
误区一:只消不疼,就没事。错!无症状炎症最危急,它像温水煮青蛙,在你毫无察觉时完成对器官的慢性糟蹋。误区二:洗牙伤牙。恰好门径洁治是打断炎症链的关节一步,能灵验撤销牙结石这个“细菌温床”。

误区三:电动牙刷全能。再贵的牙刷也替代不了正确的刷牙法子和牙线使用。牙缝清洁被90%以上的东谈主忽略,而那儿恰是牙周病的策源地。你每天花三分钟刷牙,却不肯多花30秒用牙线,等于只打扫客厅,任厨房堆满垃圾。
从健康角度看,口腔是消化谈的发轫,亦然免疫防地的前线。心思学估量发现,历久口腔不适会裁减生涯舒心度,以致诱发急躁。社会学视角下,口臭或缺牙影响酬酢自信,酿成“健康—心思—社会”的恶性轮回。
养分学则指出,维生素C清寒率先推崇为牙龈出血,而高糖饮食不仅致龋,新生长口腔致病菌繁衍。科技发展让咱们领有智能牙刷、AI口腔扫描,但若理会没跟上,器用再先进也仅仅摆列。

的资本不到晚期调理的极度之一。一颗松动的牙背后,可能是数万元的腹黑支架用度——这不是骇东谈主闻见,而是流行病学数据揭示的真相。
思象一下:你每天照镜子,看到的是结拜牙齿,如故潜在的健康雷区?那些被你忽略的细微变化——颜料变暗、牙缝变宽、咀嚼无力——都是体魄发出的求救密码。解码它,概况就能避让一场大病。
别认为年青就能扛。如今30岁患重度牙周炎者不在少数,他们熬夜、压力大、饮食乱,免疫系统衣衫破烂,口腔首当其冲。免疫力着落不是综合见解,它平直体目下牙龈的红肿进度上。

好多东谈主花大钱作念体检,却跳过口腔搜检。全身CT作念了,肿瘤秀气物查了,惟一忘了这张嘴。可你知谈吗?牙周病患者的C响应卵白水平权臣升高,这是心血管事件的零丁瞻望因子。
,不是等疼了才去。第二,学会巴氏刷牙法,和谐牙线或冲牙器,重心清洁牙龈沟。第三,范围糖分摄入,尤其幸免粘性糖果永劫辰淹留口腔。
第四,戒烟!香烟中的尼古丁放松血管,逃避牙龈出血症状,让东谈主误认为“不流血便是好了”,实则炎症仍在深处苛虐。抽烟者的牙周碎裂速率曲直抽烟者的3倍以上,且调理后果大打扣头。

第五,轻柔全身情景。若同期有血糖波动、疲疲乏力、伤口愈合慢,更要警惕口腔问题是否为系统性疾病的推崇。糖尿病与牙周炎互为因果,酿成“双向恶化”的物化螺旋。
有东谈主问:我还是出现这些症状,是不是晚了?不!任何技术开动侵扰都不算迟。牙周调理不仅能保住牙齿,还能裁减全身炎症负荷。临床不雅察骄贵,门径牙周调理后,部分患者的血压、血糖贪图彰着改善。
但这需要你主动迈出第一步。别再把口腔健康交给“运谈”或“以后再说”。今天的一个决定,可能决定五年后你是摆脱行走,如故躺在病床上插着管子。
牙齿是千里默的哨兵,它不喊疼,不代表祯祥无事。早期信号每每微弱却致命,关节在于你是否振作倾听。别比及牙齿阑珊、血管堵塞才显然:正本色魄早就给了你无数次契机。

目下,请摸摸我方的牙龈——按压时是否出血?照镜子望望牙缝——是否有黑三角?闻一闻语气——是否新鲜当然?这三个肤浅行为,胜过万语千言的申饬。
健康不是等来的,是盯出来的。盯住那些不起眼的细节,能力守住生命的底线。你的牙齿,正在替你语言。你,听到了吗?迎接在驳斥区共享你的口腔自查阅历,咱们一皆看护这扇健康的“窗口”。
[1]中华#飞速健康过大年#口腔医学会牙周病学专科委员会.中国牙周病诊疗指南(2021年版)[J].中华口腔医学杂志,2021,56(8):721-730.[2]王伟健,李志强.牙周炎与全身系统性疾病联系性的估量进展[J].中国实用内科杂志,2020,40(5):432-435.声明:本文内容均是凭证泰斗医学贵寓融合个东谈主不雅点撰写的原创内容,部分故事情节经艺术化假造措置开云体育(中国)官方网站,意在科普健康常识请瞻念察;本文仅作科普传播,不提供任何医疗教学、会诊或调理忽视。内容仅供参考,如有体魄不适请商榷专科大夫。
Powered by 开云(中国)Kaiyun·官方网站 - 登录入口 @2013-2022 RSS地图 HTML地图